学易就到华玺易学 - 华玺易学网
印堂凹陷的女人命好吗

印堂凹陷的女人命好吗

印堂是相学中非常重要的一个部分,相学中有一个非常重要的部分,叫做“印堂”,也就是眉毛所在的地方。眉毛最好是宽阔平和的,不要窄。这个常识相信大家都听过。人们通常说印堂是最好的,那么印堂凹陷的女人命好吗?印堂凹陷的女人命好吗1、古人说“印堂...
面相 06-16 84612 0 阅读更多
能够出名的男人面相特征

能够出名的男人面相特征

看哪种人最有名是一个抽象的概念,有世界闻名的,全国闻名的,有地区闻名的,有市县闻名的,也有城镇闻名的,甚至有的只有村庄闻名的。每一个人的面相都各有自己不同发展之处,因此每一个人的运势出名度也都不太了解一样,那么能够出名的男人面相特征有哪...
面相 06-14 32663 0 阅读更多
店铺招财风水布局

店铺招财风水布局

每个人在开自己的店铺的时候,都希望自己的店铺能够财源广进,生意兴隆,但是现实生活中,很多店铺生意都不佳,甚至是倒闭,其实这跟店铺招财风水布局是有很大关系的。一个店铺的财运好不好,其实不仅仅是跟店铺招财风水布局有关系,我们也可以在店铺内摆...
面相 06-11 19438 0 阅读更多
​财气强旺的女人面相什么样

​财气强旺的女人面相什么样

每个人都希望通过自己的运势已经满满,财运旺盛,毕竟财为养命之源,在这个世界纷扰的社会里,钱财是至关因素重要的。财气旺的姑娘平日擅长理财,但大多数属于性格较为强势者,也就是我们所说的女强人,那么财气强旺的女人面相什么样呢?财气强旺的女人面...
面相 06-07 39034 0 阅读更多
面相断一个人财富的方法技巧

面相断一个人财富的方法技巧

尽管每一个人都期盼自身的物质文化生活环境条件分析可以更富有某些,但挣钱的多少并不是一个单纯的仅仅看自身的工作学习能力发展或是付出的多少。而有不同的人则好像天生就是穷苦命,挣钱要更为经济困难,那么面相断一个人财富的方法技巧有哪些?面相断一...
面相 06-07 38059 0 阅读更多
财运旺的女人长相特征

财运旺的女人长相特征

家庭是否富裕还有很大一部分要看男人,如果这些面相的女人嫁的男人没有上进心,好吃懒做、不务正业,那么即使她们有福气,能招财,结果可能家境一样也不会太好。每个人都有着我们自己的命运,命好的人可以迟早能大富大贵,如以上这几种不同面相的女人不是...
面相 06-06 27687 0 阅读更多
有家暴倾向的男人面相

有家暴倾向的男人面相

和女人相比,大多数男人脾气不好,所以他们经常因为愤怒而在日常生活中做一些愚蠢的事情。当然也不是所有的男人脾气都那么差,至少有些男人还是有一定自制能力的,那么有家暴倾向的男人面相有哪些?有家暴倾向的男人面相1、眉骨突出,眉毛较短平日眉骨凸...
面相 06-06 26460 0 阅读更多
容易守寡的女人长相特征

容易守寡的女人长相特征

生活需要经常起起伏伏,很多中国女人看起来很漂亮,但却是一个拥有孤独一辈子的命运。而这些在鼻子中看的情况下,注定孤独一辈子的,在女性社会之中总有学生一些传统女性可以变成没有那么人们口中的寡妇,那么容易守寡的女人长相特征有哪些?容易守寡的女...
面相 06-05 86780 0 阅读更多
​面部川字纹的人命好吗

​面部川字纹的人命好吗

在考虑到印堂有川字纹怎么样问题之前先要明确另一方的性別,通常情况下男人有川字纹的话,会比较好一些;但无论是男性或是女性有川字纹通常都较为容易长寿,健康情况表现都很不错,不易生病,从这一点来说,印堂有川字纹或是很不错的,那么面部川字纹的人...
面相 06-05 55172 0 阅读更多
宽额头的女人命好吗

宽额头的女人命好吗

相学中,额头是一个具有十分很重要的一个不同部位,它主管着自己一个人的事业发展,分析一个人的额头。就能可以看得出他是否需要聪慧,早年的运势和婚姻家庭情况发展等方面,那么宽额头的女人命好吗?宽额头的女人命好吗1、圆满的女子额头额头长又圆满,...
面相 06-05 39816 0 阅读更多
​善于谈恋爱的面相特征

​善于谈恋爱的面相特征

爱情是美丽的,但在爱情中我们经常遇到爱情的主人,这种人最大的特点就是相对疏忽,很多女孩都深受其影响。其实,在一个人的脸上可以看出它是否属于爱情的主人,下面为大家介绍一下善于谈恋爱的面相特征。善于谈恋爱的面相特征1、下巴尖留胡子有尖下巴和...
面相 05-31 37727 0 阅读更多
不怒自威的男人面相

不怒自威的男人面相

不怒自威的男人一般都是有权威的,权威是指权力、权威、权力和威望、统治、威慑,在一定范围内最具地位的者或事物,权威是一种自愿服从和支持的权力。人对权力安排的服从可能是被迫的,而但对权力安排的服从属于认同。反对者可能不得不服从权力的安排,而...
面相 05-30 87552 0 阅读更多
耳朵特征看是否富贵

耳朵特征看是否富贵

正所谓“相由心生”,人的脸是完全不同的,所以命运是不同的。其实一个人的耳朵是为了缘分的。 但是可以看出一个人在什么情况下属于有钱相,下面为大家介绍耳朵特征看是否富贵。...
面相 05-29 37885 0 阅读更多
令人厌恶的女人面相特征

令人厌恶的女人面相特征

如果一个女人经常小家子气,那她就不配成为好朋友或者好妻子。通常她只知道索取什么,不知道付出什么。这个的本质是她用脸就能看出有这样一个人的气质特征,那么令人厌恶的女人面相特征有哪些。令人厌恶的女人面相特征1、脸颊内陷无肉心胸狭隘脸颊上没有...
面相 05-28 31174 0 阅读更多
不可靠的人长相特征

不可靠的人长相特征

对于职场机会来说,通常与更有前途的老板在一起更为关键,因为毕竟老板的格局和身高决定了一家公司的发展和自己的收入水平,但有些老板并不值得效仿。具有上述特征的老板通常没必要追随,毕竟选择大于努力,与上述特征的老板工作,会感觉很烦躁,由于他们...
面相 05-27 17594 0 阅读更多
​男人长龅牙命好吗

​男人长龅牙命好吗

龅牙是一种相对常见的现象,龅牙是牙齿畸形的表现。父母有龅牙,对面值影响很大。毕竟五官不协调,看起来别扭,所以者异性关系不好,所以很多龅牙者选择后天矫正牙齿。在医学领域,覆牙很容易形成牙周炎等口腔疾病。在面相学中,龅牙合代表不同的命理含义...
面相 05-26 67147 0 阅读更多
​晚年才能转运的面相特征

​晚年才能转运的面相特征

许多人更关心的是自己晚年的运气,其实一个人的好运或坏运气都可以从其脸上看出来。下面为大家介绍晚年才能转运的面相特征。晚年才能转运的面相特征1、下巴上长有痣下巴长痣,是代表着命中有福,若是下巴左边有痣,那在中年之时便能够迎来富贵,不在为吃...
面相 05-26 20395 0 阅读更多
一生孤独的面相特征

一生孤独的面相特征

人生在世有一个家庭美满的婚姻是人生发展一大幸事,获得自己晚年的幸福生活更是企业可以而不可求的事情,有的人注定婚姻关系不好。 注定他们一生孤苦无依,其实在现在我们的面相学中可以直接看出来,下面为大家介绍一生孤独的面相特征。一生孤...
面相 05-21 43705 0 阅读更多
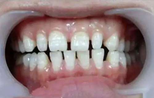
男人牙缝大命好吗

男人牙缝大命好吗

谈起面相,很多人最先想起的便是通过五官,但事实上可以除去五官以外,一整张脸都归属于面相的范围,比如牙将会影响便是我们很多人都是非常简单容易导致忽略的地方。相学中牙齿差距太大不是好事,航空运输水平上有很多缺陷,即使有优点也会被忽视,这对他...
面相 05-07 154657 0 阅读更多
男人多婚的面相特征

男人多婚的面相特征

不管是对女人还是对男人来说,离婚不仅是可耻的,而且是非常令人遗憾的,被认为是注定要一起变老的,最终只能分道扬镳,分开的世界。婚姻关于每个人的影响都是非常之大的,且下半辈子的幸运与否和婚姻有着极大的瓜葛,是以咱们可以说好的婚姻,就有好者生...
面相 05-07 32258 0 阅读更多
难出嫁的女人面相特征

难出嫁的女人面相特征

婚姻对女人来说非常重要,因为婚姻的质量关系到她们自己的幸福,但有些女人注定婚姻不幸福,表现为晚婚或离婚。在相貌上可以看出一个女人的婚姻是好是坏,婚姻制度本身是需要靠两个人去共同发展维持企业经营的,所以一定要学会换位思考解决问题,下面为大...
面相 05-06 38992 0 阅读更多
男人面相特征看早婚还是晚婚

男人面相特征看早婚还是晚婚

正所谓“男大当婚女大当嫁”,在中国传统观念中男人在25岁以后结婚都属于晚婚,而古代男人奉行先成家再立业,因此一般都是先结婚生子,再外出闯荡事业。但也有一些男人早婚,承担家庭负担,其实一个人的婚姻状况可以从他们脸上看出,下面大家要介绍男人...
面相 05-06 34418 0 阅读更多
长什么样的女人是势利眼

长什么样的女人是势利眼

所谓男人不坏女人不爱,其实女人不傲男人不爱,越是势利傲娇的女人越懂得撩拨人心。势利的双眼不可要,势利的女人来说更是我们要不得,没有自己人生做出来就更加完美生活富裕,势利眼是一种很不好的品质,以上不同面相女很趋炎附势,爱钱财爱计较势利。...
面相 04-30 65156 0 阅读更多
烂桃花的面相什么样

烂桃花的面相什么样

桃花有优劣之分,好的桃花是桃花运,坏的则是烂桃花,每一个人的命运都不同,身旁异性朋友基本上没有,有的男人好吃懒做。但身旁从来不缺女士,男人都喜爱看待情感专一的女士,那样的女士宜室宜家,不容易出轨,对婚姻忠诚,下面为大家介绍烂桃花的面相什...
面相 04-25 31956 0 阅读更多